
Table of Contents
ไม่ว่าจะเป็นกาแฟร้อนตอนเช้า หรืออเมริกาโน่เย็นยามบ่าย เครื่องดื่มแก้วโปรดของใครหลายคนนี้ แม้จะช่วยให้สมองตื่น แต่ก็แฝงปัญหาที่น่ากังวลไว้ “คราบฟันเหลือง” ที่ค่อย ๆ เกาะแน่นบนผิวฟันโดยไม่รู้ตัว
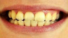
ฟันเหลืองไม่เพียงทำให้รอยยิ้มดูหมองคล้ำ แต่ยังส่งผลต่อความมั่นใจและบุคลิกภาพอีกด้วย แล้วสาเหตุจริง ๆ ของฟันเหลืองจากกาแฟคืออะไร? และจะทำอย่างไรให้ฟันกลับมาขาวสะอาดเหมือนเดิมได้? มาหาคำตอบไปพร้อมกัน
ทำไม “กาแฟ” ถึงทำให้ฟันเหลือง?
ในเมล็ดกาแฟมีสารในกลุ่มของโพลีฟีนอลที่สามารถเกาะติดกับโปรตีนบนผิวฟันได้ง่าย เมื่อเราดื่มกาแฟเป็นประจำ คราบแทนนินเหล่านี้จะสะสมทีละน้อยจนกลายเป็นสีเหลืองหรือสีน้ำตาลอ่อน ๆ
นอกจากนี้ กาแฟยังมีความเป็นกรดอ่อน ๆ ที่ทำให้ผิวเคลือบฟัน (enamel) อ่อนตัวลง จึงทำให้เม็ดสีต่าง ๆ จากอาหารหรือเครื่องดื่มอื่น ๆ เข้ามาเกาะได้ง่ายขึ้นไปอีก

สัญญาณว่าฟันของคุณเริ่ม “เหลืองจากกาแฟ”
- ฟันดูหม่น ไม่ขาวใสเหมือนเดิม
- คราบเหลืองโดยเฉพาะบริเวณซอกฟันและใกล้เหงือก
- รู้สึกว่าคราบติดแน่น แปรงธรรมดาแล้วไม่ออก
- มีกลิ่นปากร่วมด้วยจากการสะสมของคราบกาแฟและแบคทีเรีย
หากเริ่มสังเกตเห็นสัญญาณเหล่านี้ ควรรีบหาวิธีดูแลก่อนที่คราบจะฝังแน่นจนยากต่อการฟอกหรือขัดออก
5 วิธีคืนฟันขาวจากคราบกาแฟ
1. แปรงฟันหลังดื่มกาแฟทุกครั้ง
แม้จะฟังดูง่าย แต่เป็นวิธีที่ได้ผลที่สุด เพียงรอประมาณ 30 นาทีหลังดื่มกาแฟ (เพื่อให้กรดในปากลดลงก่อน) แล้วค่อยแปรงฟัน จะช่วยลดการเกาะตัวของคราบได้ดีมาก
2. ใช้ไหมขัดฟันทุกวัน
คราบกาแฟมักสะสมตามซอกฟันที่แปรงไม่ถึง การใช้ไหมขัดฟันจึงช่วยขจัดคราบและเศษอาหารได้ดีกว่าการแปรงฟันเพียงอย่างเดียว
3. บ้วนปากด้วยน้ำสะอาดหรือน้ำยาบ้วนปากสูตรอ่อนโยน
หลังดื่มกาแฟ ควรบ้วนปากทันทีเพื่อช่วยล้างฟันและลดการเกิดคราบ
4. ลดการดื่มกาแฟเข้มข้นหรือใส่นมเพิ่ม
นมมีโปรตีนที่ช่วยลดการจับตัวของสารที่ทำให้คราบติดฟันน้อยลงเล็กน้อย
5. เลือกใช้ยาสีฟันที่ช่วยลดคราบและคืนความขาวอย่างอ่อนโยน
หลีกเลี่ยงยาสีฟันที่มีผงขัดแรง เพราะอาจทำลายเคลือบฟันได้ในระยะยาว

ยาสีฟันคุณมี พริสทีน โปร์ไวท์ ผู้ช่วยเรื่องฟันขาวจากธรรมชาติ
หนึ่งในตัวช่วยที่เหมาะกับคนดื่มกาแฟคือ “ยาสีฟันคุณมี พริสทีน โปร์ไวท์” เพราะเป็นสูตรที่ออกแบบมาให้ ลดคราบเหลืองจากชาและกาแฟ โดยไม่ทำร้ายเคลือบฟัน ด้วยคุณสมบัติเด่นดังนี้
- ฟลูออไรด์ 1500 PPM ช่วยป้องกันฟันผุและเคลือบผิวฟันให้แข็งแรง
- ชาเขียว กับลูกพลับญี่ปุ่น ช่วยดูดซับกลิ่นและคราบสีจากกาแฟ ลดกลิ่นปาก
- ไทม์ญี่ปุ่น และสะระแหน่ เพิ่มความเย็นสดชื่น ทำให้ลมหายใจหอมยาวนาน
- สมุนไพรไทย เช่น ข่อย กานพลู และอบเชย ช่วยต้านแบคทีเรียและขจัดคราบบนผิวฟันอย่างอ่อนโยน
- ซิลิก้า เป็นสารขัดฟันที่ช่วยขจัดคราบพลัคและคราบอาหาร ทำให้ฟันขาวสะอาด
เมื่อใช้ต่อเนื่องเป็นประจำ เช้า–เย็น จะเริ่มเห็นความเปลี่ยนแปลงได้ภายใน 14 วัน ฟันดูขาวใสขึ้น คราบชาและกาแฟลดลงอย่างเป็นธรรมชาติ
เคล็ดลับเสริมให้ฟันขาวนาน
- หลีกเลี่ยงการดื่มกาแฟหรือชาติดต่อกันหลายแก้วต่อวัน
- ใช้หลอดดูดแทนการจิบ เพื่อลดการสัมผัสฟัน
- เข้ารับการขัดฟันจากทันตแพทย์ปีละ 1–2 ครั้ง
- แปรงฟันด้วย ยาสีฟันคุณมี พริสทีน โปร์ไวท์ เป็นประจำ

สรุป ฟันขาวไม่ใช่เรื่องไกลตัว
ฟันเหลืองจากกาแฟไม่ได้เกิดขึ้นเพียงชั่วข้ามคืน แต่ก็สามารถฟื้นฟูให้กลับมาขาวสะอาดได้ด้วยการดูแลอย่างสม่ำเสมอ และเลือกใช้ยาสีฟันที่เข้าใจปัญหาของคนดื่มกาแฟโดยเฉพาะ
เพราะรอยยิ้มที่ขาวสะอาด คือความมั่นใจที่เริ่มต้นได้ทุกเช้า เพียงเลือกใช้ ยาสีฟันคุณมี พริสทีน โปร์ไวท์ ฟันขาว สะอาด และลมหายใจหอมสดชื่นทุกวัน
อ้างอิง:
ชา กาแฟ ทำให้ฟันเหลืองจริงหรือไม่ แก้ไขได้อย่างไร ? – TDH
ฟันเหลือง ทำยังไงดี? วีธีแก้คราบเหลืองที่ฟันมีอะไรบ้าง
5 วิธีดูแลฟันและเหงือกให้แข็งแรง ต้อนรับวันทันตสาธารณสุขแห่งชาติ
